833.00
980.00
CEA(C3)癌胚抗原单克隆抗体(包被),货号-规格:bsm-1623M-50ul
  • 产品详情
  • 产品参数
  • 说明书下载


CEA(C3)癌胚抗原单克隆抗体(包被),货号-规格:bsm-1623M-50ul

查看更多请点击:http://www.bioss.com.cn/prolook_03.asp?id=AF08169606001369&pro37=1

产品编号bsm-1623M
英文名称CEA(C3)
中文名称癌胚抗原单克隆抗体(包被)
别    名Carcinoembryonic antigen; Carcinoembryonic antigen related cell adhesion molecule 5; Carcinoembryonic antigen-related cell adhesion molecule 5; CD66e; CD66e; CD66e antigen; CEA; CEA; CEACAM5; CEAM5_HUMAN; DKFZp781M2392; Meconium antigen 100; OTTHUMP00000199032; OTTHUMP00000199033; OTTHUMP00000199034.  


Specific References   (10)     |     bsm-1623M has been referenced in 10 publications.
[IF=5.123] Song X et al. Multiplex immunoassays using surface modification-mediated porous layer open tubular capillary.Anal Chim Acta. 2018 Dec 28;1043:1-10.   LIF detection&ELISA ;   Human.  
[IF=5.83] Zong, Chen, et al. "Chemiluminescence imaging immunoassay of multiple tumor markers for cancer screening." Analytical Chemistry 84.5 (2012): 2410-2415.   other ;   Human.  
[IF=7.48] Zong, Chen, et al. "Multilayer hemin/G-quadruplex wrapped gold nanoparticles as tag for ultrasensitive multiplex immunoassay by chemiluminescence imaging." Biosensors and Bioelectronics 43 (2013): 372-378.   ELISA ;   
[IF=5.7] Yu, Qiaoling, et al. "Plasma-enhanced Antibody Immobilization for the Development of a Capillary-based Carcinoembryonic Antigen Immunosensor Using Laser-induced Fluorescence Spectroscopy." Analytical Chemistry   ELISA ;   Human.  
[IF=5.7] Yu, Xiaoping, et al. "Motor-based Autonomous Microsensor for Motion and Counting Immunoassay of Cancer Biomarker." Analytical Chemistry (2014).   other ;   Human.  
[IF=4.52] Zhao, Changrong, et al. "Multiplexed electrochemical immunoassay using streptavidin/nanogold/carbon nanohorn as a signal tag to induce silver deposition." Analytica Chimica Acta (2014).   other ;   
[IF=5.83] Ren, Kewei, et al. "Target-Driven Triple-Binder Assembly of MNAzyme for Amplified Electrochemical Immunosensing of Protein Biomarker." Analytical Chemistry (2015).   other ;   
[IF=4.51] Wang, Jiamian, et al. "Fabrication of highly catalytic silver nanoclusters/graphene oxide nanocomposite as nanotag for sensitive electrochemical immunoassay." Analytica chimica acta 906 (2016): 80-88.   ELISA ;   
[IF=6.41] Song, Jie, et al. "Using silver nanocluster/graphene nanocomposite to enhance photoelectrochemical activity of CdS: mn/TiO 2 for highly sensitive signal-on immunoassay." Biosensors and Bioelectronics (2016).   other ;   
[IF=3.101] Cao Y et al. Detection of three tumor biomarkers in human lung cancer serum using single particle ICP-MS combined with magnetic immunoassay. Spectrochimica Acta Part B: Atomic Spectroscopy, 105797 (2020).   Sandwich-type magnetic immunoassay ;   Human.  
研究领域肿瘤   细胞类型标志物  
抗体来源Mouse
克隆类型Monoclonal
克 隆 号C3
产品应用ELISA=1:500-1000 IHC-P=1:100-500 IHC-F=1:100-500 IF=1:100-500 (石蜡切片需做抗原修复)
not yet tested in other applications.
optimal dilutions/concentrations should be determined by the end user.


分 子 量150-200kDa
细胞定位细胞膜
性    状Liquid
浓    度1mg/ml
免 疫 原Human Carcino Embryonic Antigen:full length
亚    型IgG
纯化方法affinity purified by Protein A
储 存 液0.01M PBS(pH7.4) with 0.03% Proclin300
保存条件Shipped at 4℃. Store at -20 °C for one year. Avoid repeated freeze/thaw cycles.
PubMedPubMed
产品介绍CEA-related cell adhesion molecules (CEACAM) belong to the carcinoembryonic antigen (CEA) family. It consists of seven CEACAM (CEACAM 1, CEACAM 3-CEACAM 8) and 11 pregnancy-specific glyco-protein (PSG 1-PSG 11) members. The CEA family proteins belong to the immunoglobulin (Ig) superfamily and are composed of one Ig variable-like (IgV) and a varying number (0-6) of Ig constant-like (IgC) domains. CEACAM molecules are membrane-bound either via a transmembrane domain or a glycosyl phosphatidyl inositol (GPI) anchor. CEACAM molecules are differentially expressed in epithelial cells or in leucocytes. Over-expression of CEA/ CEACAM 5 in tumors of epithelial origin is the basis of its wide-spread use as a tumor marker. The function of CEACAM family members varies widely: they function as cell adhesion molecules, tumor suppressors, regulators of lymphocyte and dendritic cell activation, receptors of Neisseria species and other bacteria.

Function:
Cell surface glycoprotein that plays a role in cell adhesion and in intracellular signaling. Receptor for E.coli Dr adhesins.

Subunit:
Homodimer. Binding of E.coli Dr adhesins leads to dissociation of the homodimer.

Subcellular Location:
Cell membrane; Lipid-anchor, GPI-anchor

Tissue Specificity:
Found in adenocarcinomas of endodermally derived digestive system epithelium and fetal colon.

Post-translational modifications:
Complex immunoreactive glycoprotein with a MW of 180 kDa comprising 60% carbohydrate.

Similarity:
Belongs to the immunoglobulin superfamily. CEA family.
Contains 7 Ig-like (immunoglobulin-like) domains.

SWISS:
P06731

Gene ID:
1048

Database links:

Entrez Gene: 1048 Human

Omim: 114890 Human

SwissProt: P06731 Human

Unigene: 709196 Human



Important Note:
This product as supplied is intended for research use only, not for use in human, therapeutic or diagnostic applications.


CEA是一种胚胎性抗原,主要存在于胎儿消化道上皮组织,胰腺和肝癌中。CEA广泛存在各种上皮性肿瘤,尤其是胃肠道恶性肿瘤,CEA分布阳性类型与肿瘤的恶性度有关。CEA与EMA一样可作为上皮性恶性肿瘤的重要标记。
分子量为150-200 kDa。
该抗体与bsm-1624M(检测)(Mouse Anti-Human CEA Monoclonal)配对使用;主要用于ELISA试剂盒,胶体金试剂条制备生产都很好。大量订购可来电商议。



















产品图片
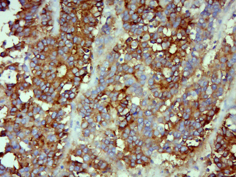
Paraformaldehyde-fixed, paraffin embedded (Human liver cancer); Antigen retrieval by boiling in sodium citrate buffer (pH6.0) for 15min; Block endogenous peroxidase by 3% hydrogen peroxide for 20 minutes; Blocking buffer (normal goat serum) at 37°C for 30min; Antibody incubation with (CEA(C3)) Polyclonal Antibody, Unconjugated (bsm-1623M) at 1:500 overnight at 4°C, followed by a conjugated secondary (sp-0023) for 20 minutes and DAB staining.











品牌
Bioss
规格
50ul
价格
833.00
市场价
980.00
库存量
1000
Home
Customer service
shopping cart
ADD TO CART
BUY NOW