833.00
980.00
Beta tubulin(Loading Control)微管蛋白β tubulin/Tubulin β(内参)单克隆抗体,货号-规格:bsm-33034M-100ul
  • 产品详情
  • 产品参数
  • 说明书下载


产品编号bsm-33034M
英文名称Beta tubulin(Loading Control)
中文名称微管蛋白β tubulin/Tubulin β(内参)单克隆抗体
别    名Beta 4 tubulin; Beta 5 tubulin; beta Ib tubulin; Beta1 tubulin; Class I beta tubulin; M40; MGC117247; MGC16435; OK/SW cl.56; OK/SWcl.56; TBB5_HUMAN; TUBB 1; TUBB 2; TUBB 5; TUBB; TUBB1; TUBB2; TUBB5; tubulin beta 1 chain; Tubulin beta 2 chain; tubulin beta 5 chain; Tubulin beta chain; Tubulin beta class I; tubulin beta polypeptide; Tubulin beta-5 chain.   
产品类型内参抗体
研究领域细胞骨架   细胞外基质   
抗体来源Mouse
克隆类型Monoclonal
克 隆 号7G3
交叉反应Human, Mouse, Rat, Insect, Yeast (predicted: Chicken, Dog, Pig, Cow, Rabbit, Sheep, Guinea Pig, Monkey, )


产品应用WB=1:5000-20000 ELISA=1:5000-10000 IHC-P=1:100-500 IHC-F=1:100-500 ICC=1:100-500 IF=1:200-500 (石蜡切片需做抗原修复)
not yet tested in other applications.
optimal dilutions/concentrations should be determined by the end user.
产品应用


WB=1:5000-20000 ELISA=1:5000-10000 IHC-P=1:100-500 IHC-F=1:100-500 ICC=1:100-500 IF=1:200-500 (石蜡切片需做抗原修复)
not yet tested in other applications.
optimal dilutions/concentrations should be determined by the end user.


分 子 量55kDa
细胞定位细胞浆
性    状Liquid
浓    度1mg/ml
免 疫 原KLH conjugated synthetic peptide derived from human Beta tubulin:
亚    型IgG1
纯化方法affinity purified by Protein G
储 存 液0.01M TBS(pH7.4) with 1% BSA, 0.03% Proclin300 and 50% Glycerol.
保存条件Shipped at 4℃. Store at -20 °C for one year. Avoid repeated freeze/thaw cycles.
PubMedPubMed
产品介绍This gene encodes a beta tubulin protein. This protein forms a dimer with alpha tubulin and acts as a structural component of microtubules. Mutations in this gene cause cortical dysplasia, complex, with other brain malformations 6. Alternative splicing results in multiple splice variants. There are multiple pseudogenes for this gene on chromosomes 1, 6, 7, 8, 9, and 13. [provided by RefSeq, Jun 2014]

Function:
Tubulin is the major constituent of microtubules. It binds two moles of GTP, one at an exchangeable site on the beta chain and one at a non-exchangeable site on the alpha chain.

Subunit:
Dimer of alpha and beta chains. May interact with RNABP10. Interacts with PIFO. Interacts with MX1.

Subcellular Location:
Cytoplasmic, cytoskeleton.

Tissue Specificity:
Ubiquitously expressed with highest levels in spleen, thymus and immature brain.

Post-translational modifications:
Some glutamate residues at the C-terminus are polyglutamylated. This modification occurs exclusively on glutamate residues and results in polyglutamate chains on the gamma-carboxyl group. Also monoglycylated but not polyglycylated due to the absence of functional TTLL10 in human. Monoglycylation is mainly limited to tubulin incorporated into axonemes (cilia and flagella) whereas glutamylation is prevalent in neuronal cells, centrioles, axonemes, and the mitotic spindle. Both modifications can coexist on the same protein on adjacent residues, and lowering glycylation levels increases polyglutamylation, and reciprocally. The precise function of such modifications is still unclear but they regulate the assembly and dynamics of axonemal microtubules (Probable).

Similarity:
Belongs to the tubulin family.

SWISS:
P07437

Gene ID:
203068

Database links:

Entrez Gene: 203068 Human

Entrez Gene: 22154 Mouse

Entrez Gene: 29214 Rat

Omim: 191130 Human

SwissProt: P07437 Human

SwissProt: P99024 Mouse

SwissProt: P69897 Rat

Unigene: 636480 Human

Unigene: 2458 Rat



Important Note:
This product as supplied is intended for research use only, not for use in human, therapeutic or diagnostic applications.


























产品图片
Sample:
U87MG Cell (Human) Lysate at 40 ug
SW480 Cell (Human) Lysate at 40 ug
Primary: Anti- Beta tubulin (bsm-33034M) at 1/2 000 dilution
Secondary: IRDye800CW Goat Anti-Mouse IgG at 1/20000 dilution
Predicted band size: 55 kD
Observed band size: 55 kD
Sample:
Hela (Human) Lysate at 40 ug
Primary:
Anti-Beta tubulin (bsm-33034M) at 1/2000~1/20000 dilution
Secondary: IRDye800CW Goat Anti-Mouse IgG at 1/20000 dilution
Predicted band size: 55 kD
Observed band size: 55 kD
Sample:
Cerebrum (Rat) Lysate at 40 ug
Primary:
Anti-Beta tubulin (bsm-33034M) at 1/1000~1/20000 dilution
Secondary: IRDye800CW Goat Anti-Mouse IgG at 1/20000 dilution
Predicted band size: 55 kD
Observed band size: 55 kD
Sample:
Cerebrum (Mouse) Lysate at 40 ug
Primary:
Anti-Beta tubulin (bsm-33034M) at 1/1000~20000 dilution
Secondary: IRDye800CW Goat Anti-Mouse IgG at 1/20000 dilution
Predicted band size: 55 kD
Observed band size: 55 kD
Sample:
Hela(Human) Cell Lysate at 30 ug
NIH/3T3(Mouse) Cell Lysate at 30 ug
HL60(Human) Cell Lysate at 30 ug
SH-SY5Y(Human) Cell Lysate at 30 ug
Cerebellum(Mouse) Lysate at 40 ug
Cerebellum(Rat) Lysate at 40 ug
Cerebrum(Mouse) Lysate at 40 ug
Cerebrum(Rat) Lysate at 40 ug
Primary: Anti-Beta tubulin (bsm-33034M) at 1/1000 dilution
Secondary: IRDye800CW Goat Anti-Mouse IgG at 1/20000 dilution
Predicted band size: 50 kD
Observed band size: 50 kD
Sample:
HL60(Human) Cell Lysate at 30 ug
Primary: Anti- Beta tubulin (bsm-33034M) at 1/2000 dilution
Secondary: IRDye800CW Goat Anti-Mouse IgG at 1/20000 dilution
Predicted band size: 55 kD
Observed band size: 52 kD
Sample:
A431(Human) Cell Lysate at 30 ug
SY5Y(Human) Cell Lysate at 30 ug
Primary: Anti- Beta tubulin (bsm-33034M) at 1/2000 dilution
Secondary: IRDye800CW Goat Anti-Mouse IgG at 1/20000 dilution
Predicted band size: 55 kD
Observed band size: 52 kD
Sample:
HL60(Human) Cell Lysate at 30 ug
U937(Human) Cell Lysate at 30 ug
A431(Human) Cell Lysate at 30 ug
SH-SY5Y(Human) Cell Lysate at 30 ug
Primary: Anti- Beta tubulin (bsm-33034M) at 1/1000 dilution
Secondary: IRDye800CW Goat Anti-Mouse IgG at 1/20000 dilution
Predicted band size: 55 kD
Observed band size: 55 kD
Sample:
A431(Human) Cell Lysate at 30 ug
Hela(Human) Cell Lysate at 30 ug
Jurkat(Human) Cell Lysate at 30 ug
Lovo(Human) Cell Lysate at 30 ug
Primary: Anti- Beta tubulin (bsm-33034M) at 1/1000 dilution
Secondary: IRDye800CW Goat Anti-Mouse IgG at 1/20000 dilution
Predicted band size: 55 kD
Observed band size: 52 kD
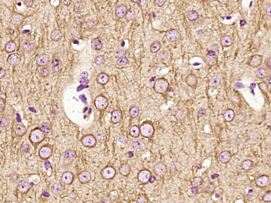
Paraformaldehyde-fixed, paraffin embedded (rat heart); Antigen retrieval by boiling in sodium citrate buffer (pH6.0) for 15min; Block endogenous peroxidase by 3% hydrogen peroxide for 20 minutes; Blocking buffer (normal goat serum) at 37°C for 30min; Antibody incubation with (Beta tubulin(Loading Control)) Monoclonal Antibody, Unconjugated (bsm-33034M) at 1:200 overnight at 4°C, followed by operating according to SP Kit(Mouse)(sp-0024) instructionsand DAB staining.
Paraformaldehyde-fixed, paraffin embedded (rat brain); Antigen retrieval by boiling in sodium citrate buffer (pH6.0) for 15min; Block endogenous peroxidase by 3% hydrogen peroxide for 20 minutes; Blocking buffer (normal goat serum) at 37°C for 30min; Antibody incubation with (Beta tubulin(Loading Control)) Monoclonal Antibody, Unconjugated (bsm-33034M) at 1:200 overnight at 4°C, followed by operating according to SP Kit(Mouse)(sp-0024) instructionsand DAB staining.
Paraformaldehyde-fixed, paraffin embedded (mouse heart); Antigen retrieval by boiling in sodium citrate buffer (pH6.0) for 15min; Block endogenous peroxidase by 3% hydrogen peroxide for 20 minutes; Blocking buffer (normal goat serum) at 37°C for 30min; Antibody incubation with (Beta tubulin(Loading Control)) Monoclonal Antibody, Unconjugated (bsm-33034M) at 1:200 overnight at 4°C, followed by operating according to SP Kit(Mouse)(sp-0024) instructionsand DAB staining.
Paraformaldehyde-fixed, paraffin embedded (mouse cerebellum); Antigen retrieval by boiling in sodium citrate buffer (pH6.0) for 15min; Block endogenous peroxidase by 3% hydrogen peroxide for 20 minutes; Blocking buffer (normal goat serum) at 37°C for 30min; Antibody incubation with (Beta tubulin(Loading Control)) Monoclonal Antibody, Unconjugated (ascites of bsm-33034M 7G3) at 1:2000 overnight at 4°C, followed by operating according to SP Kit(Mouse) (sp-0024) instructions and DAB staining.
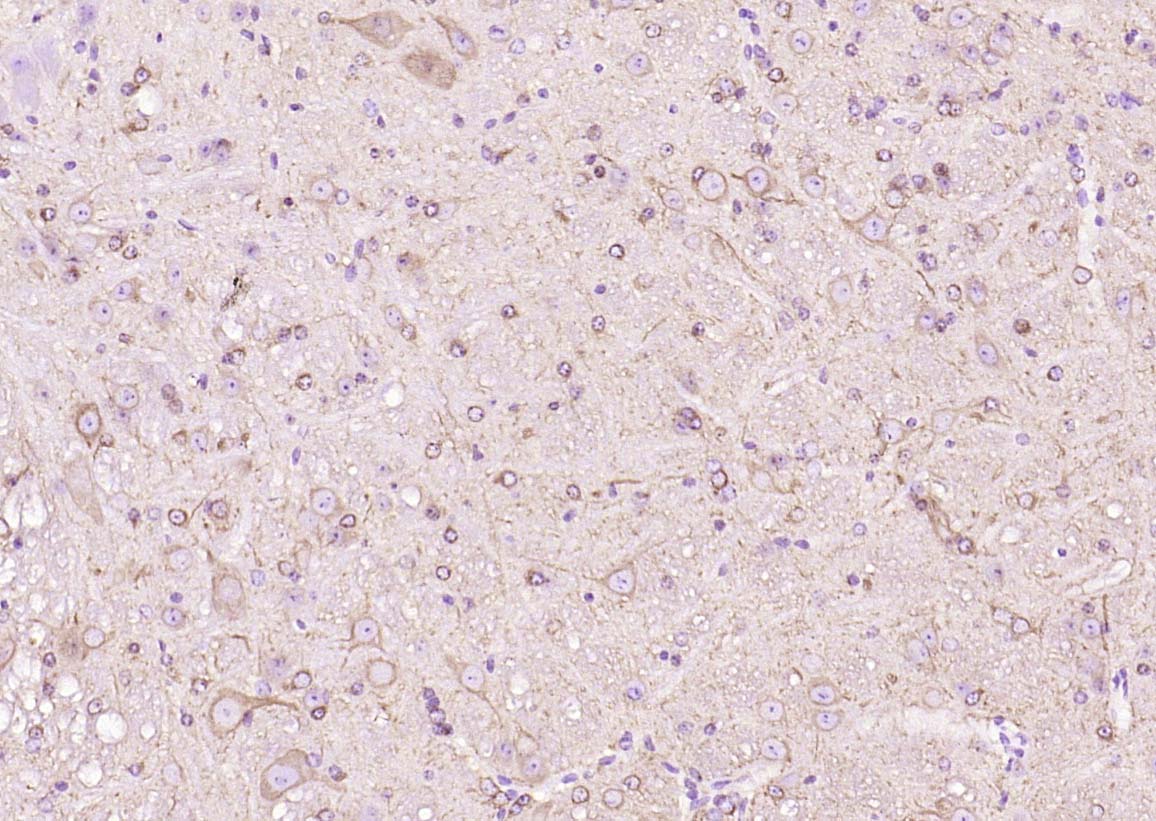
Paraformaldehyde-fixed, paraffin embedded (Mouse brain); Antigen retrieval by boiling in sodium citrate buffer (pH6.0) for 15min; Block endogenous peroxidase by 3% hydrogen peroxide for 20 minutes; Blocking buffer (normal goat serum) at 37°C for 30min; Antibody incubation with (Beta tubulin(Loading Control)) Monoclonal Antibody, Unconjugated (ascites of bsm-33034M 7G3) at 1:2000 overnight at 4°C, followed by operating according to SP Kit(Mouse) (sp-0024) instructions and DAB staining.
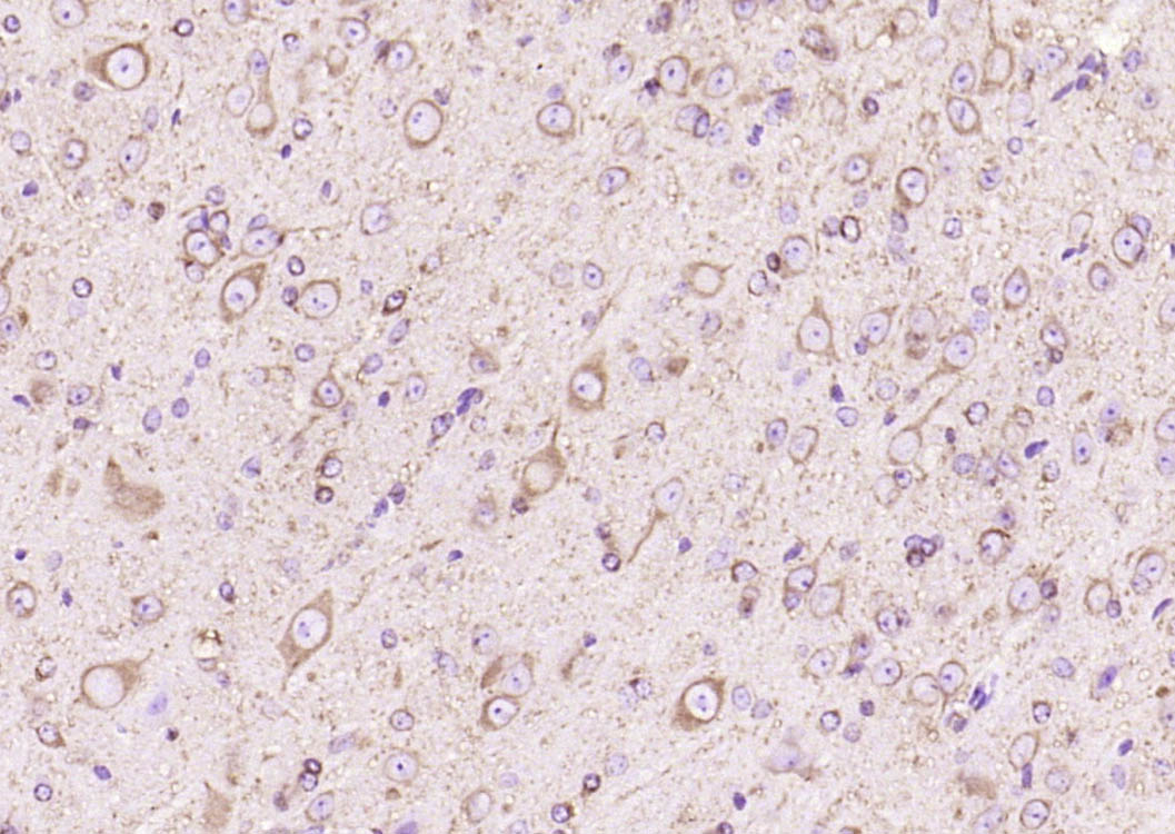
Paraformaldehyde-fixed, paraffin embedded (Mouse brain); Antigen retrieval by boiling in sodium citrate buffer (pH6.0) for 15min; Block endogenous peroxidase by 3% hydrogen peroxide for 20 minutes; Blocking buffer (normal goat serum) at 37°C for 30min; Antibody incubation with (Beta tubulin) Monoclonal Antibody, Unconjugated (bsm-33034M) at 1:400 overnight at 4°C, followed by operating according to SP Kit(Mouse) (sp-0024) instructionsand DAB staining.
分 子 量
产品图片

Sample:
U87MG Cell (Human) Lysate at 40 ug
SW480 Cell (Human) Lysate at 40 ug
Primary: Anti- Beta tubulin (bsm-33034M) at 1/2 000 dilution
Secondary: IRDye800CW Goat Anti-Mouse IgG at 1/20000 dilution
Predicted band size: 55 kD
Observed band size: 55 kD
Sample:
Hela (Human) Lysate at 40 ug
Primary:
Anti-Beta tubulin (bsm-33034M) at 1/2000~1/20000 dilution
Secondary: IRDye800CW Goat Anti-Mouse IgG at 1/20000 dilution
Predicted band size: 55 kD
Observed band size: 55 kD
Sample:
Cerebrum (Rat) Lysate at 40 ug
Primary:
Anti-Beta tubulin (bsm-33034M) at 1/1000~1/20000 dilution
Secondary: IRDye800CW Goat Anti-Mouse IgG at 1/20000 dilution
Predicted band size: 55 kD
Observed band size: 55 kD
Sample:
Cerebrum (Mouse) Lysate at 40 ug
Primary:
Anti-Beta tubulin (bsm-33034M) at 1/1000~20000 dilution
Secondary: IRDye800CW Goat Anti-Mouse IgG at 1/20000 dilution
Predicted band size: 55 kD
Observed band size: 55 kD
Sample:
Hela(Human) Cell Lysate at 30 ug
NIH/3T3(Mouse) Cell Lysate at 30 ug
HL60(Human) Cell Lysate at 30 ug
SH-SY5Y(Human) Cell Lysate at 30 ug
Cerebellum(Mouse) Lysate at 40 ug
Cerebellum(Rat) Lysate at 40 ug
Cerebrum(Mouse) Lysate at 40 ug
Cerebrum(Rat) Lysate at 40 ug
Primary: Anti-Beta tubulin (bsm-33034M) at 1/1000 dilution
Secondary: IRDye800CW Goat Anti-Mouse IgG at 1/20000 dilution
Predicted band size: 50 kD
Observed band size: 50 kD
Sample:
HL60(Human) Cell Lysate at 30 ug
Primary: Anti- Beta tubulin (bsm-33034M) at 1/2000 dilution
Secondary: IRDye800CW Goat Anti-Mouse IgG at 1/20000 dilution
Predicted band size: 55 kD
Observed band size: 52 kD
Sample:
A431(Human) Cell Lysate at 30 ug
SY5Y(Human) Cell Lysate at 30 ug
Primary: Anti- Beta tubulin (bsm-33034M) at 1/2000 dilution
Secondary: IRDye800CW Goat Anti-Mouse IgG at 1/20000 dilution
Predicted band size: 55 kD
Observed band size: 52 kD
Sample:
HL60(Human) Cell Lysate at 30 ug
U937(Human) Cell Lysate at 30 ug
A431(Human) Cell Lysate at 30 ug
SH-SY5Y(Human) Cell Lysate at 30 ug
Primary: Anti- Beta tubulin (bsm-33034M) at 1/1000 dilution
Secondary: IRDye800CW Goat Anti-Mouse IgG at 1/20000 dilution
Predicted band size: 55 kD
Observed band size: 55 kD
Sample:
A431(Human) Cell Lysate at 30 ug
Hela(Human) Cell Lysate at 30 ug
Jurkat(Human) Cell Lysate at 30 ug
Lovo(Human) Cell Lysate at 30 ug
Primary: Anti- Beta tubulin (bsm-33034M) at 1/1000 dilution
Secondary: IRDye800CW Goat Anti-Mouse IgG at 1/20000 dilution
Predicted band size: 55 kD
Observed band size: 52 kD
Paraformaldehyde-fixed, paraffin embedded (rat heart); Antigen retrieval by boiling in sodium citrate buffer (pH6.0) for 15min; Block endogenous peroxidase by 3% hydrogen peroxide for 20 minutes; Blocking buffer (normal goat serum) at 37°C for 30min; Antibody incubation with (Beta tubulin(Loading Control)) Monoclonal Antibody, Unconjugated (bsm-33034M) at 1:200 overnight at 4°C, followed by operating according to SP Kit(Mouse)(sp-0024) instructionsand DAB staining.
Paraformaldehyde-fixed, paraffin embedded (rat brain); Antigen retrieval by boiling in sodium citrate buffer (pH6.0) for 15min; Block endogenous peroxidase by 3% hydrogen peroxide for 20 minutes; Blocking buffer (normal goat serum) at 37°C for 30min; Antibody incubation with (Beta tubulin(Loading Control)) Monoclonal Antibody, Unconjugated (bsm-33034M) at 1:200 overnight at 4°C, followed by operating according to SP Kit(Mouse)(sp-0024) instructionsand DAB staining.
Paraformaldehyde-fixed, paraffin embedded (mouse heart); Antigen retrieval by boiling in sodium citrate buffer (pH6.0) for 15min; Block endogenous peroxidase by 3% hydrogen peroxide for 20 minutes; Blocking buffer (normal goat serum) at 37°C for 30min; Antibody incubation with (Beta tubulin(Loading Control)) Monoclonal Antibody, Unconjugated (bsm-33034M) at 1:200 overnight at 4°C, followed by operating according to SP Kit(Mouse)(sp-0024) instructionsand DAB staining.
Paraformaldehyde-fixed, paraffin embedded (mouse cerebellum); Antigen retrieval by boiling in sodium citrate buffer (pH6.0) for 15min; Block endogenous peroxidase by 3% hydrogen peroxide for 20 minutes; Blocking buffer (normal goat serum) at 37°C for 30min; Antibody incubation with (Beta tubulin(Loading Control)) Monoclonal Antibody, Unconjugated (ascites of bsm-33034M 7G3) at 1:2000 overnight at 4°C, followed by operating according to SP Kit(Mouse) (sp-0024) instructions and DAB staining.
Paraformaldehyde-fixed, paraffin embedded (Mouse brain); Antigen retrieval by boiling in sodium citrate buffer (pH6.0) for 15min; Block endogenous peroxidase by 3% hydrogen peroxide for 20 minutes; Blocking buffer (normal goat serum) at 37°C for 30min; Antibody incubation with (Beta tubulin(Loading Control)) Monoclonal Antibody, Unconjugated (ascites of bsm-33034M 7G3) at 1:2000 overnight at 4°C, followed by operating according to SP Kit(Mouse) (sp-0024) instructions and DAB staining.
Paraformaldehyde-fixed, paraffin embedded (Mouse brain); Antigen retrieval by boiling in sodium citrate buffer (pH6.0) for 15min; Block endogenous peroxidase by 3% hydrogen peroxide for 20 minutes; Blocking buffer (normal goat serum) at 37°C for 30min; Antibody incubation with (Beta tubulin) Monoclonal Antibody, Unconjugated (bsm-33034M) at 1:400 overnight at 4°C, followed by operating according to SP Kit(Mouse) (sp-0024) instructionsand DAB staining.

分 子 量


55kDa
细胞定位细胞浆
性    状Liquid
浓    度1mg/ml
免 疫 原KLH conjugated synthetic peptide derived from human Beta tubulin:
亚    型IgG1
纯化方法affinity purified by Protein G
储 存 液0.01M TBS(pH7.4) with 1% BSA, 0.03% Proclin300 and 50% Glycerol.
保存条件Shipped at 4℃. Store at -20 °C for one year. Avoid repeated freeze/thaw cycles.
PubMedPubMed
产品介绍This gene encodes a beta tubulin protein. This protein forms a dimer with alpha tubulin and acts as a structural component of microtubules. Mutations in this gene cause cortical dysplasia, complex, with other brain malformations 6. Alternative splicing results in multiple splice variants. There are multiple pseudogenes for this gene on chromosomes 1, 6, 7, 8, 9, and 13. [provided by RefSeq, Jun 2014]

Function:
Tubulin is the major constituent of microtubules. It binds two moles of GTP, one at an exchangeable site on the beta chain and one at a non-exchangeable site on the alpha chain.

Subunit:
Dimer of alpha and beta chains. May interact with RNABP10. Interacts with PIFO. Interacts with MX1.

Subcellular Location:
Cytoplasmic, cytoskeleton.

Tissue Specificity:
Ubiquitously expressed with highest levels in spleen, thymus and immature brain.

Post-translational modifications:
Some glutamate residues at the C-terminus are polyglutamylated. This modification occurs exclusively on glutamate residues and results in polyglutamate chains on the gamma-carboxyl group. Also monoglycylated but not polyglycylated due to the absence of functional TTLL10 in human. Monoglycylation is mainly limited to tubulin incorporated into axonemes (cilia and flagella) whereas glutamylation is prevalent in neuronal cells, centrioles, axonemes, and the mitotic spindle. Both modifications can coexist on the same protein on adjacent residues, and lowering glycylation levels increases polyglutamylation, and reciprocally. The precise function of such modifications is still unclear but they regulate the assembly and dynamics of axonemal microtubules (Probable).

Similarity:
Belongs to the tubulin family.

SWISS:
P07437

Gene ID:
203068

Database links:

Entrez Gene: 203068 Human

Entrez Gene: 22154 Mouse

Entrez Gene: 29214 Rat

Omim: 191130 Human

SwissProt: P07437 Human

SwissProt: P99024 Mouse

SwissProt: P69897 Rat

Unigene: 636480 Human

Unigene: 2458 Rat



Important Note:
This product as supplied is intended for research use only, not for use in human, therapeutic or diagnostic applications.

产品图片
Sample:
U87MG Cell (Human) Lysate at 40 ug
SW480 Cell (Human) Lysate at 40 ug
Primary: Anti- Beta tubulin (bsm-33034M) at 1/2 000 dilution
Secondary: IRDye800CW Goat Anti-Mouse IgG at 1/20000 dilution
Predicted band size: 55 kD
Observed band size: 55 kD
Sample:
Hela (Human) Lysate at 40 ug
Primary:
Anti-Beta tubulin (bsm-33034M) at 1/2000~1/20000 dilution
Secondary: IRDye800CW Goat Anti-Mouse IgG at 1/20000 dilution
Predicted band size: 55 kD
Observed band size: 55 kD
Sample:
Cerebrum (Rat) Lysate at 40 ug
Primary:
Anti-Beta tubulin (bsm-33034M) at 1/1000~1/20000 dilution
Secondary: IRDye800CW Goat Anti-Mouse IgG at 1/20000 dilution
Predicted band size: 55 kD
Observed band size: 55 kD
Sample:
Cerebrum (Mouse) Lysate at 40 ug
Primary:
Anti-Beta tubulin (bsm-33034M) at 1/1000~20000 dilution
Secondary: IRDye800CW Goat Anti-Mouse IgG at 1/20000 dilution
Predicted band size: 55 kD
Observed band size: 55 kD
Sample:
Hela(Human) Cell Lysate at 30 ug
NIH/3T3(Mouse) Cell Lysate at 30 ug
HL60(Human) Cell Lysate at 30 ug
SH-SY5Y(Human) Cell Lysate at 30 ug
Cerebellum(Mouse) Lysate at 40 ug
Cerebellum(Rat) Lysate at 40 ug
Cerebrum(Mouse) Lysate at 40 ug
Cerebrum(Rat) Lysate at 40 ug
Primary: Anti-Beta tubulin (bsm-33034M) at 1/1000 dilution
Secondary: IRDye800CW Goat Anti-Mouse IgG at 1/20000 dilution
Predicted band size: 50 kD
Observed band size: 50 kD
Sample:
HL60(Human) Cell Lysate at 30 ug
Primary: Anti- Beta tubulin (bsm-33034M) at 1/2000 dilution
Secondary: IRDye800CW Goat Anti-Mouse IgG at 1/20000 dilution
Predicted band size: 55 kD
Observed band size: 52 kD
Sample:
A431(Human) Cell Lysate at 30 ug
SY5Y(Human) Cell Lysate at 30 ug
Primary: Anti- Beta tubulin (bsm-33034M) at 1/2000 dilution
Secondary: IRDye800CW Goat Anti-Mouse IgG at 1/20000 dilution
Predicted band size: 55 kD
Observed band size: 52 kD
Sample:
HL60(Human) Cell Lysate at 30 ug
U937(Human) Cell Lysate at 30 ug
A431(Human) Cell Lysate at 30 ug
SH-SY5Y(Human) Cell Lysate at 30 ug
Primary: Anti- Beta tubulin (bsm-33034M) at 1/1000 dilution
Secondary: IRDye800CW Goat Anti-Mouse IgG at 1/20000 dilution
Predicted band size: 55 kD
Observed band size: 55 kD
Sample:
A431(Human) Cell Lysate at 30 ug
Hela(Human) Cell Lysate at 30 ug
Jurkat(Human) Cell Lysate at 30 ug
Lovo(Human) Cell Lysate at 30 ug
Primary: Anti- Beta tubulin (bsm-33034M) at 1/1000 dilution
Secondary: IRDye800CW Goat Anti-Mouse IgG at 1/20000 dilution
Predicted band size: 55 kD
Observed band size: 52 kD
Paraformaldehyde-fixed, paraffin embedded (rat heart); Antigen retrieval by boiling in sodium citrate buffer (pH6.0) for 15min; Block endogenous peroxidase by 3% hydrogen peroxide for 20 minutes; Blocking buffer (normal goat serum) at 37°C for 30min; Antibody incubation with (Beta tubulin(Loading Control)) Monoclonal Antibody, Unconjugated (bsm-33034M) at 1:200 overnight at 4°C, followed by operating according to SP Kit(Mouse)(sp-0024) instructionsand DAB staining.
Paraformaldehyde-fixed, paraffin embedded (rat brain); Antigen retrieval by boiling in sodium citrate buffer (pH6.0) for 15min; Block endogenous peroxidase by 3% hydrogen peroxide for 20 minutes; Blocking buffer (normal goat serum) at 37°C for 30min; Antibody incubation with (Beta tubulin(Loading Control)) Monoclonal Antibody, Unconjugated (bsm-33034M) at 1:200 overnight at 4°C, followed by operating according to SP Kit(Mouse)(sp-0024) instructionsand DAB staining.
Paraformaldehyde-fixed, paraffin embedded (mouse heart); Antigen retrieval by boiling in sodium citrate buffer (pH6.0) for 15min; Block endogenous peroxidase by 3% hydrogen peroxide for 20 minutes; Blocking buffer (normal goat serum) at 37°C for 30min; Antibody incubation with (Beta tubulin(Loading Control)) Monoclonal Antibody, Unconjugated (bsm-33034M) at 1:200 overnight at 4°C, followed by operating according to SP Kit(Mouse)(sp-0024) instructionsand DAB staining.
Paraformaldehyde-fixed, paraffin embedded (mouse cerebellum); Antigen retrieval by boiling in sodium citrate buffer (pH6.0) for 15min; Block endogenous peroxidase by 3% hydrogen peroxide for 20 minutes; Blocking buffer (normal goat serum) at 37°C for 30min; Antibody incubation with (Beta tubulin(Loading Control)) Monoclonal Antibody, Unconjugated (ascites of bsm-33034M 7G3) at 1:2000 overnight at 4°C, followed by operating according to SP Kit(Mouse) (sp-0024) instructions and DAB staining.
Paraformaldehyde-fixed, paraffin embedded (Mouse brain); Antigen retrieval by boiling in sodium citrate buffer (pH6.0) for 15min; Block endogenous peroxidase by 3% hydrogen peroxide for 20 minutes; Blocking buffer (normal goat serum) at 37°C for 30min; Antibody incubation with (Beta tubulin(Loading Control)) Monoclonal Antibody, Unconjugated (ascites of bsm-33034M 7G3) at 1:2000 overnight at 4°C, followed by operating according to SP Kit(Mouse) (sp-0024) instructions and DAB staining.
Paraformaldehyde-fixed, paraffin embedded (Mouse brain); Antigen retrieval by boiling in sodium citrate buffer (pH6.0) for 15min; Block endogenous peroxidase by 3% hydrogen peroxide for 20 minutes; Blocking buffer (normal goat serum) at 37°C for 30min; Antibody incubation with (Beta tubulin) Monoclonal Antibody, Unconjugated (bsm-33034M) at 1:400 overnight at 4°C, followed by operating according to SP Kit(Mouse) (sp-0024) instructionsand DAB staining.



品牌
Bioss
规格
100ul
价格
833.00
市场价
980.00
库存量
1000
Home
Customer service
shopping cart
ADD TO CART
BUY NOW