833.00
980.00
Interferon alpha 2b干扰素α2b抗体,货号-规格:bs-0536R-50ul
  • 产品详情
  • 产品参数
  • 说明书下载


Interferon alpha 2b干扰素α2b抗体,货号-规格:bs-0536R-50ul

产品编号bs-0536R
英文名称Interferon alpha 2b
中文名称干扰素α2b抗体
别    名Interferon alpha-2b; Alpha 2a interferon; alpha-2a interferon; IFN alpha 2b; IFNA 2; IFNA; INFA 2; INFA2; Interferon alpha 2; Interferon alpha 2 precursor; Interferon alpha 8 precursor; Interferon alpha A; Interferon alpha B; Interferon alpha B2; Interferon alpha-2 precursor; LeIF A; LeIF B; LeIFA; MGC125764; Interferon alpha B; Interferon alpha B2; interferon, alpha 8; LeIF B; MGC125765; IFN-alpha-2; IFNA2_HUMAN; MGC125765.   


Specific References   (1)     |     bs-0536R has been referenced in 1 publications.
[IF=1.797] Shaaban R et al. Molecular and Biological Characterization of a Prepared Recombinant Human Interferon Alpha 2b Isoform.(2018) Appl. Biochem. Biotechnol. 2018 Oct 18.   WB ;   Rat.   
研究领域肿瘤   细胞生物   免疫学   糖蛋白   细胞因子   干扰素   
抗体来源Rabbit
克隆类型Polyclonal
产品应用WB=1:500-2000 ELISA=1:500-1000 IHC-P=1:100-500 IHC-F=1:100-500 IF=1:100-500 (石蜡切片需做抗原修复)
not yet tested in other applications.
optimal dilutions/concentrations should be determined by the end user.


分 子 量19kDa
细胞定位分泌型蛋白
性    状Liquid
浓    度1mg/ml
免 疫 原KLH conjugated synthetic peptide derived from human IFN alpha 2b:
亚    型IgG
纯化方法affinity purified by Protein A
储 存 液0.01M TBS(pH7.4) with 1% BSA, 0.03% Proclin300 and 50% Glycerol.
保存条件Shipped at 4℃. Store at -20 °C for one year. Avoid repeated freeze/thaw cycles.
PubMedPubMed
产品介绍Interferon alpha 2b is one of the known 23 different variants of IFN-alpha. The individual proteins have molecular masses between 19-26 kDa and consist of proteins with lengths of 156-166 and 172 amino acids. All IFN-alpha subtypes possess a common conserved sequence region between amino acid positions 115-151 while the amino-terminal ends are variable. Many IFN-alpha subtypes differ in their sequences at only one or two positions. Naturally occurring variants also include proteins truncated by 10 amino acids at the carboxy-terminal end.
Interferon alpha 2b is a potent immune modulator. It can either inhibit or enhance immune cell activity within the tightly regulated microenvironment of inflammation, depending upon the concentration of the cytokine and the activation stage of the cell. Interferon alpha 2B is currently used as an anticancer drug due to it's antiproliferative activity.

Function:
Produced by macrophages, IFN-alpha have antiviral activities.

Subunit:
Interacts with IFNAR2.

Subcellular Location:
Secreted.

Similarity:
Belongs to the alpha/beta interferon family.

SWISS:
P01563

Gene ID:
3440

Database links:

Entrez Gene: 3440 Human

Omim: 147562 Human

SwissProt: P01563 Human

Unigene: 211575 Human



Important Note:
This product as supplied is intended for research use only, not for use in human, therapeutic or diagnostic applications.













产品图片
Paraformaldehyde-fixed, paraffin embedded (Human glioma); Antigen retrieval by boiling in sodium citrate buffer (pH6.0) for 15min; Block endogenous peroxidase by 3% hydrogen peroxide for 20 minutes; Blocking buffer (normal goat serum) at 37°C for 30min; Antibody incubation with (Interferon alpha 2b) Polyclonal Antibody, Unconjugated (bs-0536R) at 1:400 overnight at 4°C, followed by operating according to SP Kit(Rabbit) (sp-0023) instructionsand DAB staining.
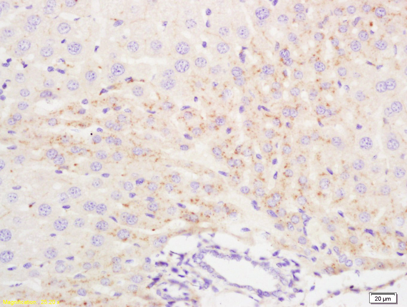
Tissue/cell: mouse liver tissue; 4% Paraformaldehyde-fixed and paraffin-embedded;
Antigen retrieval: citrate buffer ( 0.01M, pH 6.0 ), Boiling bathing for 15min; Block endogenous peroxidase by 3% Hydrogen peroxide for 30min; Blocking buffer (normal goat serum,C-0005) at 37℃ for 20 min;
Incubation: Anti-IFN-Alpha 2b/Interferon alpha 2/INFA2 Polyclonal Antibody, Unconjugated (bs-0536R) 1:200, overnight at 4°C, followed by conjugation to the secondary antibody(SP-0023) and DAB(C-0010) staining








品牌
Bioss
规格
50ul
价格
833.00
市场价
980.00
库存量
1000
Home
Customer service
shopping cart
ADD TO CART
BUY NOW