833.00
980.00
LC3自噬微管相关蛋白轻链3抗体,货号-规格:bs-8878R-50ul
  • 产品详情
  • 产品参数
  • 说明书下载


LC3自噬微管相关蛋白轻链3抗体,货号-规格:bs-8878R-50ul

产品编号bs-8878R
英文名称LC3
中文名称自噬微管相关蛋白轻链3抗体
别    名Autophagy related protein LC3 A; Autophagy related protein LC3 B; Autophagy related ubiquitin like modifier LC3 A; Autophagy related ubiquitin like modifier LC3 B; MAP1 light chain 3 like protein 1; MAP1 light chain 3 like protein 2; MAP1A/1B light chain 3 A; MAP1A/1B light chain 3 B; MAP1A/1BLC3; MAP1A/MAP1B LC3 A; MAP1A/MAP1B LC3 B; MAP1ALC3; MAP1BLC3; MAP1LC3A; MAP1LC3B; Microtubule associated protein 1 light chain 3 alpha; Microtubule associated protein 1 light chain 3 beta; Microtubule associated proteins 1A/1B light chain 3; Microtubule associated proteins 1A/1B light chain 3A; Microtubule associated proteins 1A/1B light chain 3B; MLP3A_HUMAN.  
Specific References   (5)     |     bs-8878R has been referenced in 5 publications.
[IF=2.234] Lu et al. Autophagy activator promotes neuronal differentiation of adult adipose-derived stromal cells. (2013) Neural.Regen.Res. 8:882-9   ICC ;   Human.  
[IF=2.535] Chen J et al. Tension induces intervertebral disc degeneration via endoplasmic reticulum stress-mediated autophagy. Biosci Rep. 2019 Jul 8. pii: BSR20190578.   WB&IHC ;   Rat.  
[IF=3.067] Kang Z et al. Copper-induced apoptosis and autophagy through oxidative stress-mediated mitochondrial dysfunction in male germ cells. Toxicol In Vitro. 2019 Sep 3;61:104639.   WB&ICF ;   Mouse.  
[IF=2.78] Chen, Yunbo, et al. "β-Asarone prevents autophagy and synaptic loss by reducing ROCK expression in asenescence-accelerated prone 8 mice." Brain research 1552 (2014): 41-54.   IHC-P, WB ;   Mouse.  
[IF=1.56] Li, Min, et al. "Metformin ameliorates hepatic steatosis and improves the induction of autophagy in HFD‑induced obese mice." Molecular Medicine Reports.   IHC-P ;   Mouse.  
研究领域肿瘤   细胞生物   神经生物学   信号转导   细胞骨架   细胞外基质   细胞自噬  
抗体来源Rabbit
克隆类型Polyclonal
交叉反应Human, Rat,   (predicted: Mouse, Chicken, Dog, Pig, Cow, Horse, Sheep, Goat, )
产品应用WB=1:500-2000 ELISA=1:500-1000 IHC-P=1:100-500 IHC-F=1:100-500 Flow-Cyt=1μg/Test ICC=1:100-500 IF=1:100-500 (石蜡切片需做抗原修复)
not yet tested in other applications.
optimal dilutions/concentrations should be determined by the end user.
分 子 量14/16kDa
细胞定位细胞浆
性    状Liquid
浓    度1mg/ml
免 疫 原KLH conjugated synthetic peptide derived from human LC3:31-121/121
亚    型IgG
纯化方法affinity purified by Protein A
储 存 液0.01M TBS(pH7.4) with 1% BSA, 0.03% Proclin300 and 50% Glycerol.
保存条件Shipped at 4℃. Store at -20 °C for one year. Avoid repeated freeze/thaw cycles.
PubMedPubMed
产品介绍A major contributor to cellular homeostasis is the ability of the cell to strike a balance between the formation and degradation/removal of its cellular components. This process of internal cellular turn-over is called autophagy (self-eating), and is facilitated by a pathway of around 16 interacting proteins in the human. LC3, a ubiquitin-like modifier protein, is the human homolog of yeast Apg8 and is involved in the formation of autophagosomal vacuoles, called autophagosomes. LC3 is expressed as 3 splice variants (LC3A, LC3B and LC3C), which exhibit different tissue distributions and are processed into cytosolic and autophagosomal membrane-bound forms, termed LC3-I and LC3-II, respectively. A disruption to the autophagic process is now associated with the progression of several cancers, neurodegenerative disorders and cardiac pathologies, where LC3 is widely employed as a marker for autophagy.

Function:
Probably involved in formation of autophagosomal vacuoles (autophagosomes).

Subunit:
3 different light chains, LC1, LC2 and LC3, can associate with MAP1A and MAP1B proteins. Interacts with SQSTM1. Interacts with TP53INP1 and TP53INP2.

Subcellular Location:
Cytoplasmic. Endomembrane system; Lipid-anchor. Cytoplasmic vesicle, autophagosome membrane; Lipid-anchor. Note: LC3B binds to the autophagic membranes.

Tissue Specificity:
Most abundant in heart, brain, liver, skeletal muscle and testis but absent in thymus and peripheral blood leukocytes.

Post-translational modifications:
The precursor molecule is cleaved by APG4B/ATG4B to form the cytosolic form, LC3-I. This is activated by APG7L/ATG7, transferred to ATG3 and conjugated to phospholipid to form the membrane-bound form, LC3-II.

Similarity:
Belongs to the MAP1 LC3 family.

SWISS:
Q9H492

Gene ID:
84557

Database links:

Entrez Gene: 84557 Human

Entrez Gene: 66734 Mouse

Entrez Gene: 362245 Rat

Omim: 601242 Human

SwissProt: Q9H492 Human

SwissProt: Q91VR7 Mouse

SwissProt: Q6XVN8 Rat

Unigene: 632273 Human

Unigene: 196239 Mouse

Unigene: 3135 Rat



Important Note:
This product as supplied is intended for research use only, not for use in human, therapeutic or diagnostic applications.

产品图片
Protein: mouse brain lysates at 40ug;
Primary: rabbit Anti-LC3 (bs-8878R) at 1:300;
Secondary: HRP conjugated Goat-Anti-rabbit IgG(bs-0295G-HRP) at 1: 5000;
Predicted band size:14 kD Observed band size:14,16 kD
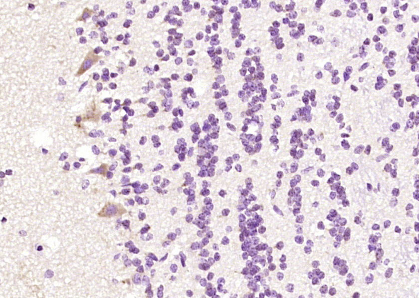
Paraformaldehyde-fixed, paraffin embedded (rat brain); Antigen retrieval by boiling in sodium citrate buffer (pH6.0) for 15min; Block endogenous peroxidase by 3% hydrogen peroxide for 20 minutes; Blocking buffer (normal goat serum) at 37°C for 30min; Antibody incubation with (LC3) Polyclonal Antibody, Unconjugated (bs-8878R) at 1:200 overnight at 4°C, followed by operating according to SP Kit(Rabbit) (sp-0023) instructionsand DAB staining.
Paraformaldehyde-fixed, paraffin embedded (rat testis tissue); Antigen retrieval by boiling in sodium citrate buffer (pH6.0) for 15min; Block endogenous peroxidase by 3% hydrogen peroxide for 20 minutes; Blocking buffer (normal goat serum) at 37°C for 30min; Antibody incubation with (LC3) Polyclonal Antibody, Unconjugated (bs-8878R) at 1:400 overnight at 4°C, followed by a conjugated secondary (sp-0023) for 20 minutes and DAB staining.
Blank control (blue line): Hela (fixed with 70% ethanol (Overmight at 4℃) and then permeabilized with 90% ice-cold methanol for 30 min at -20℃).
Primary Antibody (green line): Rabbit Anti-LC3 antibody (bs-8878R),Dilution: 1μg /10^6 cells;
Isotype Control Antibody (orange line): Rabbit IgG .
Secondary Antibody (white blue line): Goat anti-rabbit IgG-PE,Dilution: 1μg /test.




品牌
Bioss
规格
50ul
价格
833.00
市场价
980.00
库存量
1000
Home
Customer service
shopping cart
ADD TO CART
BUY NOW