833.00
980.00
F-Actin纤维状肌动蛋白抗体,货号-规格:bs-1571R-50ul
  • 产品详情
  • 产品参数
  • 说明书下载



产品编号bs-1571R
英文名称F-Actin
中文名称纤维状肌动蛋白抗体
别    名f actin; Filamentous actin; F-actin capping protein alpha subunit; CapZ alpha-1; CAZA1_HUMAN; CAPZA1.  
Specific References   (27)     |     bs-1571R has been referenced in 27 publications.
[IF=5.79] Yang et al. Rab5-mediated VE-cadherin internalization regulates the barrier function of the lung microvascular endothelium. (2015) Cell.Mol.Life.Sci. 72:4849-66   WB,ICC ;   Human.  
[IF=.88] Murakami et al. Roles of Ras Homolog A in Invasive Ductal Breast Carcinoma. (2016) Acta.Histochem.Cytochem. 49:131-140   IHC ;   Human.  
[IF=2.766] Bwalya et al. Pentosan polysulfate inhibits IL-1β-induced iNOS, c-Jun and HIF-1α upregulation in canine articular chondrocytes. (2017) PLoS.One. 12:e0177144   WB ;   Dog.  
[IF=2.74] Clark et al. The human, F-actin-based cytoskeleton as a mutagen sensor. (2017) Cancer.Cell.Int. 17:121   IF(IHC-P) ;   Human.  
[IF=2.78] Jing et al. Expression of immunoglobulin G in human podocytes, and its role in cell viability and adhesion. (2018) Int.J.Mol.Med. 41:3296-3306   IF ;   Human.  
[IF=2.766] Okada T et al. Nanoscale imaging of the adhesion core including integrin β1 on intact living cells using scanning electron-assisted dielectric-impedance microscopy. (2018) PLOS ONE, 13(9), e0204133.   IF,ICC ;   Mouse.  
[IF=2.8] Zhai J et al. An increase of estrogen receptor α protein level regulates BDE-209-mediated blood-testis barrier disruption during spermatogenesis in F1 mice. (2018) Environ Sci Pollut Res Int.   WB,IHF&ICF ;   Mouse.  
[IF=2.559] Li X et al. LncRNA FTX inhibits hippocampal neuron apoptosis by regulating miR-21-5p/SOX7 axis in a rat model of temporal lobe epilepsy.Biochem Biophys Res Commun. 2019 Apr 23;512(1):79-86.   WB ;   Rat.  
[IF=5.391] Yagi H et al. Gα13-mediated LATS1 down-regulation contributes to epithelial-mesenchymal transition in ovarian cancer. FASEB J. 2019 Sep 28:fj201901278R.   ICF ;   Human.  
[IF=0] Deguchi, Takahiro. "Development of 3D super-resolution tomographic STED microscopy and its application to studies on bone resorption." (2015).   other ;   
[IF=.86] Xie, Chaoming, Xiong Lu, and Kefeng Wang. "Pulse Electrochemical Synthesis of Spherical Hydroxyapatite and Silver Nanoparticles Mediated by the Polymerization of Polypyrrole on Metallic Implants for Biomedical Applications." Particle & Particle Systems Characterization (2015).   Rat.  
[IF=3.22] Zhong, Weiliang, et al. "An integrated microfluidic device for characterizing chondrocyte metabolism in response to distinct levels of fluid flow stimulus."Microfluidics and Nanofluidics: 1-11.   
[IF=2.55] Zhao, Ran, et al. "Hepatoma cell line HepG2. 2.15 demonstrates distinct biological features compared with parental HepG2." World journal of gastroenterology: WJG 17.9 (2011): 1152.   WB ;   Human.  
[IF=3.73] Zhong, Weiliang, et al. "Regulation of Fibrochondrogenesis of Mesenchymal Stem Cells in an Integrated Microfluidic Platform Embedded with Biomimetic Nanofibrous Scaffolds." PLOS ONE 8.4 (2013): e61283.   Rat.  
[IF=2.8] Kang, Hongyan, et al. "A Potential Gravity-Sensing Role of Vascular Smooth Muscle Cell Glycocalyx in Altered Gravitational Stimulation." Astrobiology (2013).   WB ;   Rat.  
[IF=3.73] Su, Bao, et al. "In Vitro and In Vivo Evaluations of Nano-Hydroxyapatite/Polyamide 66/Glass Fibre (n-HA/PA66/GF) as a Novel Bioactive Bone Screw." PLOS ONE 8.7 (2013): e68342.   Mouse.  
[IF=.18] Du, Ailin, et al. "Damage of hippocampal neurons in rats with chronic alcoholism." Neural regeneration research 9.17 (2014): 1610.   IHC-P ;   Rat.  
[IF=18.699] Yuan, Lin, et al. "Deubiquitylase OTUD3 regulates PTEN stability and suppresses tumorigenesis." Nature Cell Biology (2015).   IHC-P ;   Mouse.  
[IF=1.86] Siar, Chong Huat, et al. "Invadopodia proteins, cortactin, N‐WASP and WIP differentially promote local invasiveness in ameloblastoma." Journal of Oral Pathology & Medicine (2016).   IHC-P ;   Human.  
[IF=2.52] Chen, S. M., et al. "Cofilin is correlated with sperm quality and influences sperm fertilizing capacity in humans." Andrology (2016).   WB ;   Human.  
[IF=2.22] Li, Haihong, et al. "Human eccrine sweat gland cells reconstitute polarized spheroids when subcutaneously implanted with Matrigel in nude mice." Journal of molecular histology 47.5 (2016): 485-490.   IHC-P ;   Mouse.  
[IF=1.84] Zhang, Pengfei, et al. "Proteome analysis of egg yolk after exposure to zinc oxide nanoparticles." Theriogenology (2017).   WB ;   Chicken.  
[IF=1.69] Guo, Xiliang, and Xuezheng Liu. "Nogo receptor knockdown and ciliary neurotrophic factor attenuate diabetic retinopathy in streptozotocin-induced diabetic rats." Molecular Medicine Reports. (2017).   IHC-P ;   Rat.  
[IF=2.74] Clark, Nicolette M., et al. "The human, F-actin-based cytoskeleton as a mutagen sensor." Cancer Cell International 17.1 (2017): 121.   IHC-P ;   Human.  
[IF=0] Bwalya E et al. Pentosan Polysulfate Sodium Restores the Phenotype of Dedifferentiated Monolayer Canine Articular Chondrocytes Cultured in Alginate Bea. J Tissue Sci Eng 2018, 9:1.   WB ;   Dog.  
[IF=4.011] Shiozawa M et al. Biological reaction control using topography regulation of nanostructured titanium. Sci Rep. 2020 Feb 12;10(1):2438.   ICF ;   Rat.  
[IF=0] Okada T et al. High-resolution imaging of autophagosome formation by LC3 and ATG12 in cells using scanning electron-assisted dielectric microscopy. Research Square; 2020 Feb 7.   ICF ;   Mouse&Rat.  
研究领域免疫学   细胞骨架  
抗体来源Rabbit
克隆类型Polyclonal
交叉反应Human, Mouse, Rat,   (predicted: Pig, Cow, Sheep, )
产品应用WB=1:1000-5000 ELISA=1:500-1000 IHC-P=1:100-500 Flow-Cyt=3μg /test (石蜡切片需做抗原修复)
not yet tested in other applications.
optimal dilutions/concentrations should be determined by the end user.
分 子 量42kDa
细胞定位细胞浆
性    状Liquid
浓    度1mg/ml
免 疫 原KLH conjugated synthetic peptide derived from human F-actin capping protein alpha subunit:1-50/374
亚    型IgG
纯化方法affinity purified by Protein A
储 存 液0.01M TBS(pH7.4) with 1% BSA, 0.03% Proclin300 and 50% Glycerol.
保存条件Shipped at 4℃. Store at -20 °C for one year. Avoid repeated freeze/thaw cycles.
PubMedPubMed
产品介绍In vertebrates, three main groups of actin isoforms, alpha, beta, and gamma have been identified. The alpha actins, found in muscletissues, are a major constituent of the contractile apparatus. The beta and gamma actins coexist in most cell types as components of the cytoskeleton, and as mediators of internal cell motility. Individual subunits of microfilaments are known as globular actin (G-actin). G-actin subunits assemble into long filamentous polymers called F-actin.

SWISS:
P60709

Gene ID:
60

Database links:

Entrez Gene: 60 Human

Entrez Gene: 11461 Mouse

Entrez Gene: 100009272 Rabbit

Entrez Gene: 81822 Rat

Omim: 102630 Human

SwissProt: P60709 Human

SwissProt: P60710 Mouse

SwissProt: P29751 Rabbit

SwissProt: P60711 Rat

Unigene: 520640 Human

Unigene: 708120 Human

Unigene: 727576 Human

Unigene: 328431 Mouse

Unigene: 391967 Mouse

Unigene: 94978 Rat



Important Note:
This product as supplied is intended for research use only, not for use in human, therapeutic or diagnostic applications.

纤维状肌动蛋白F-Actin主要存在于横纹肌原肌纤维细丝及平滑肌中,是肌肉运动和细胞运动的重要蛋白。









产品图片
Sample: Lane1:Hela (Human) Whole Cell Lysate at 30 ug
Lane2:Jurkat (Human) Whole Cell Lysate at 30 ug
Lane3:293T (Human) Whole Cell Lysate at 30 ug
Lane4:Hepg2 (Human) Whole Cell Lysate at 30 ug
Lane5:A431 (Human) Whole Cell Lysate at 30 ug
Lane6:A549 (Human) Whole Cell Lysate at 30 ug
Lane7:H9C2 (Rat) Whole Cell Lysate at 30 ug
Lane8:Testis (Mouse) Tissue Lysate at 30 ug
Primary: Anti-F-Actin(bs-1571R)at 1/300 dilution
Secondary: IRDye800CW Goat Anti-Rabbit IgG at 1/20000 dilution
Predicted band size: 42 kD
Observed band size: 42 kD
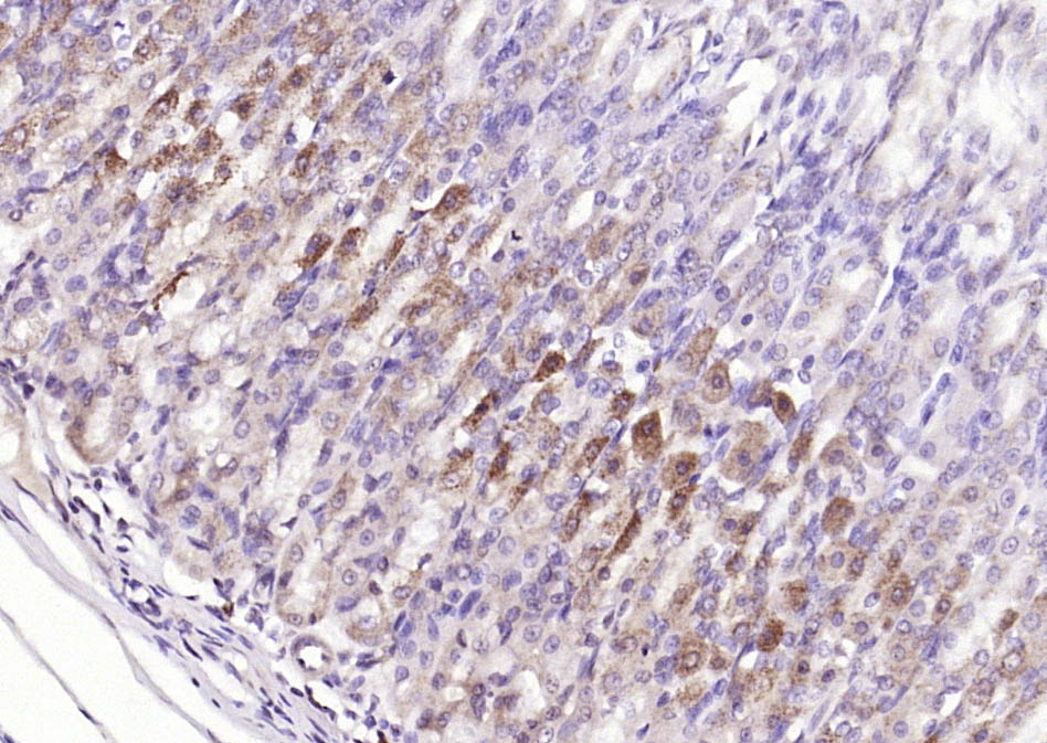
Paraformaldehyde-fixed, paraffin embedded (rat stomach); Antigen retrieval by boiling in sodium citrate buffer (pH6.0) for 15min; Block endogenous peroxidase by 3% hydrogen peroxide for 20 minutes; Blocking buffer (normal goat serum) at 37°C for 30min; Antibody incubation with (F-Actin) Polyclonal Antibody, Unconjugated (bs-1571R) at 1:200 overnight at 4°C, followed by operating according to SP Kit(Rabbit) (sp-0023) instructionsand DAB staining.
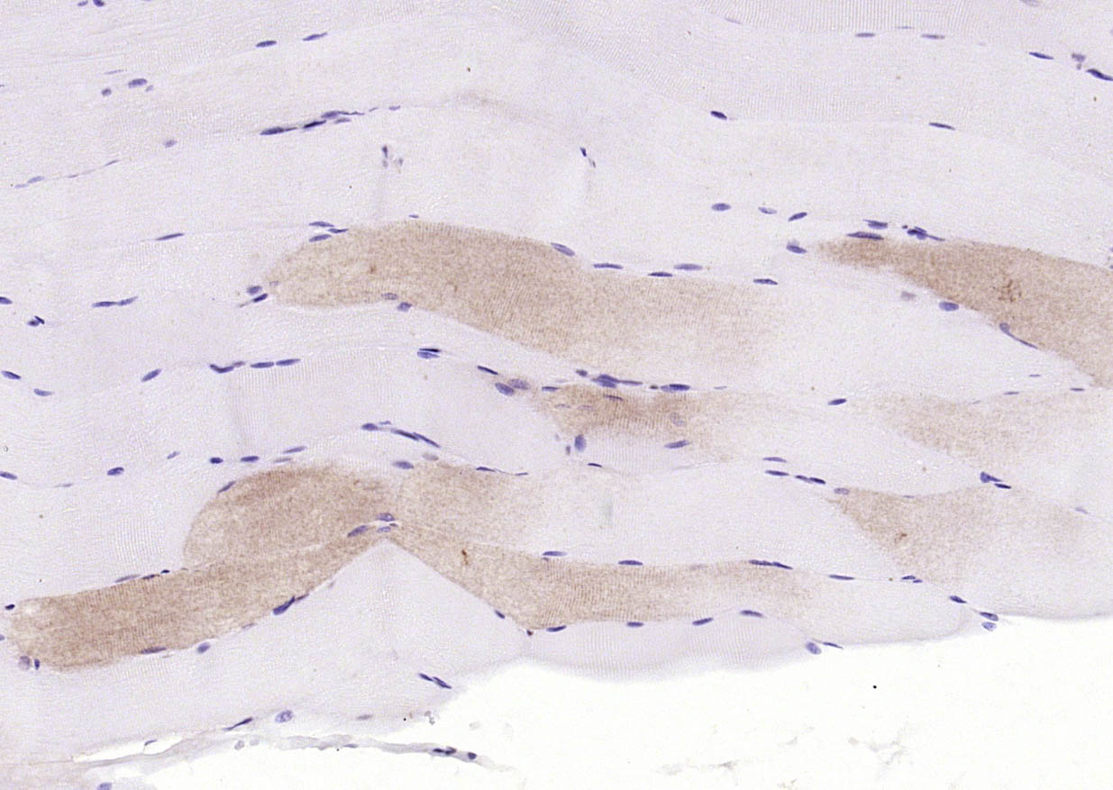
Paraformaldehyde-fixed, paraffin embedded (rat skeletal muscle); Antigen retrieval by boiling in sodium citrate buffer (pH6.0) for 15min; Block endogenous peroxidase by 3% hydrogen peroxide for 20 minutes; Blocking buffer (normal goat serum) at 37°C for 30min; Antibody incubation with (F-Actin) Polyclonal Antibody, Unconjugated (bs-1571R) at 1:200 overnight at 4°C, followed by operating according to SP Kit(Rabbit) (sp-0023) instructionsand DAB staining.
Blank control (blue line): Hela (blue).
Primary Antibody (green line): Rabbit Anti- F-Actin antibody (bs-1571R)
Dilution: 3μg /10^6 cells;
Isotype Control Antibody (orange line): Rabbit IgG .
Secondary Antibody (white blue line): Goat anti-rabbit IgG-PE
Dilution: 1μg /test.
Protocol
The cells were fixed with 80% methanol (5 min at -20℃) and then permeabilized with 0.1% PBS-Tween for 20 min at room temperature . Cells stained with Primary Antibody for 30 min at room temperature. The cells were then incubated in 1 X PBS/2%BSA/10% goat serum to block non-specific protein-protein interactions followed by the antibody for 15 min at room temperature. The secondary antibody used for 40 min at room temperature. Acquisition of 20,000 events was performed.






品牌
Bioss
规格
50ul
价格
833.00
市场价
980.00
库存量
1000
Home
Customer service
shopping cart
ADD TO CART
BUY NOW